27-year-old male:
Left shoulder pain following a direct fall on the shoulder.

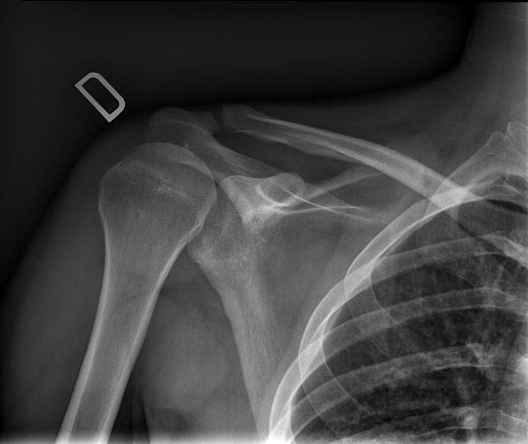
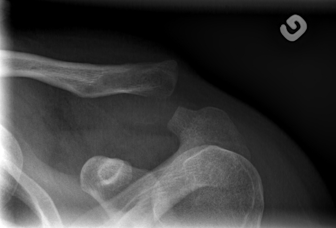
Acromioclavicular luxation

Bone misalignment

The left clavicule is displaced superiorly with increased acromioclavicular and coracoclavicular distance relative to the right side.

Displacement measurement

Superior displacement of the left clavicle with a coracoclavicular distance of 32 mm compared to 13 mm on the right side (146% displacement). This is thus a grade 5 acromioclavicular joint dislocation.

Layout
Other patient studies
Anteroposterior
  • Anteroposterior
  • Anteroposterior
  • Anteroposterior (weight)
  • Anteroposterior (weight)
Zoom:
-
test
+
Anteroposterior
  • Anteroposterior
  • Anteroposterior
  • Anteroposterior (weight)
  • Anteroposterior (weight)
Zoom:
-
test
+
Anteroposterior (weight)
  • Anteroposterior
  • Anteroposterior
  • Anteroposterior (weight)
  • Anteroposterior (weight)
Zoom:
-
test
+
Anteroposterior (weight)
  • Anteroposterior
  • Anteroposterior
  • Anteroposterior (weight)
  • Anteroposterior (weight)
Zoom:
-
test
+
.jpg
.png
256
4
2
../ortho/resources/studies/
../sandbox/