71-year-old male:
Right shoulder pain and stiffness.

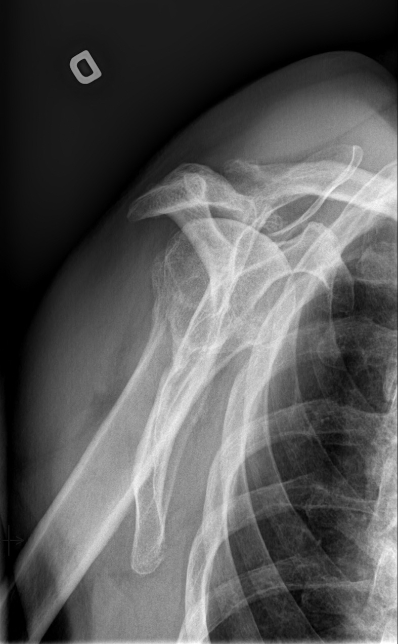
Glenohumeral arthrosis

Bone irregularities

Degenerative changes of the right glenohumeral joint with joint space narrowing and inferior ostephytes formation. Joint space narrowing assessment would be better on a true anteroposterior view of the shoulder joint instead of the thorax, as is the case here.

Head migration

Rotator cuff tear

Bone irregularities

Significant humeral head superior displacement, with loss of the acromiohumeral space caracteristic of a massive rotator cuff tear.

Acromioclavicular arthrosis

Severe acromioclavicular osteoarthritis with joint space narrowing and osteophytes.

Glenohumeral alignment

On the scapula lateral view (trans scapular view), the humeral head is well positioned in front of the glenoid (middle of the "Y"), thus eliminating a gleno-humeral dislocation.

Layout
Other patient studies
Anteroposterior
  • Anteroposterior
  • Transscapular view (Neer, "Y" or lateral view of the shoulder)
Zoom:
-
test
+
Transscapular view (Neer, "Y" or lateral view of the shoulder)
  • Anteroposterior
  • Transscapular view (Neer, "Y" or lateral view of the shoulder)
Zoom:
-
test
+
.jpg
.png
230
2
4
../ortho/resources/studies/
../sandbox/