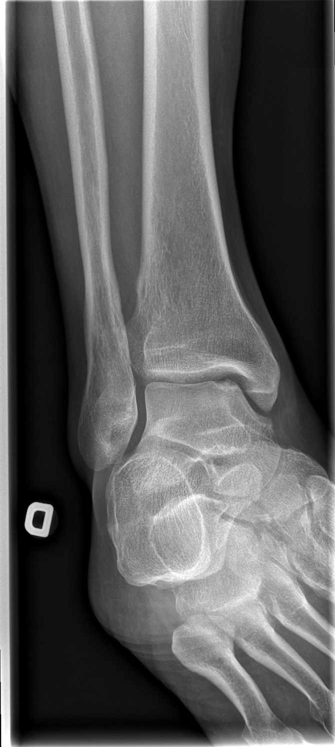
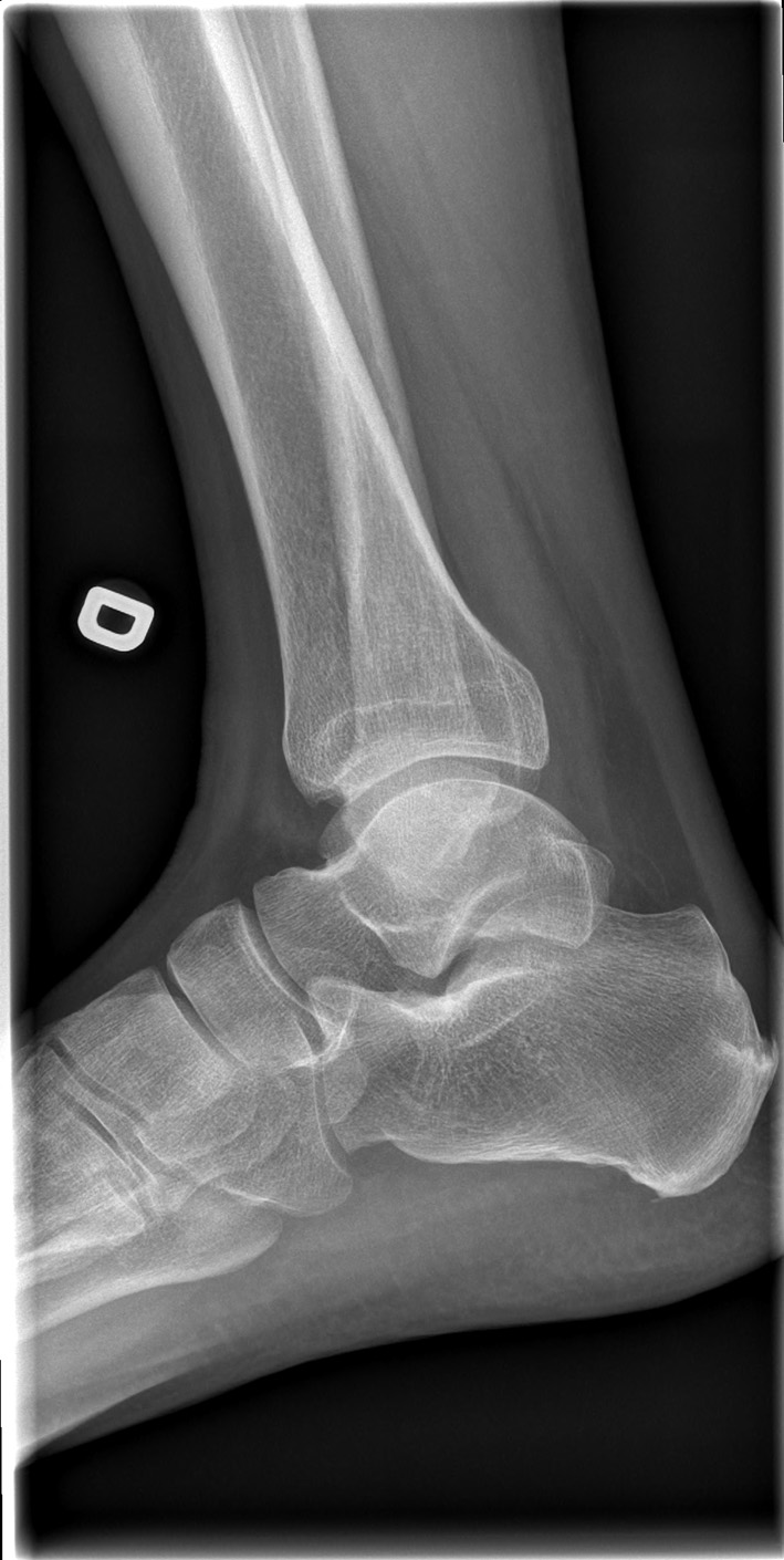
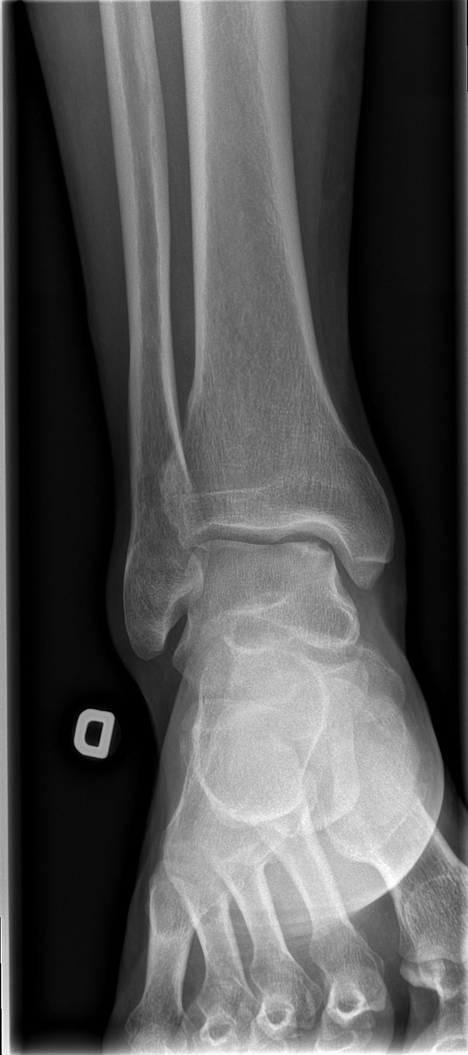
69-year-old male:
Persistent right ankle pain following a sprain.

Osteochondritis dissecans

Linear hypodensity

Cortical defect and sclerosis of the superomedial talus compatible with an osteochondral lesion. Assessment of the fragment is impossible on these views, however, and the precise type cannot be acertained.

Enthesopathy

Bone deformity

Little enthesopathy on the posterior aspect of the calcaneus.

Plantar fascia enthesopathy

Enthesopathy

Linear hyperdensity

Little plantar fascia enthesopathy on the inferior aspect of the calcaneus.

Layout
Anteroposterior
  • Anteroposterior
  • Lateral
  • Oblique
Zoom:
-
test
+
Lateral
  • Anteroposterior
  • Lateral
  • Oblique
Zoom:
-
test
+
Oblique
  • Anteroposterior
  • Lateral
  • Oblique
Zoom:
-
test
+
.jpg
.png
219
3
3
../ortho/resources/studies/
../sandbox/