0-hour-old male:
Feet deformity.

Talocalcaneal angle

Clubfoot

Bones misalignment

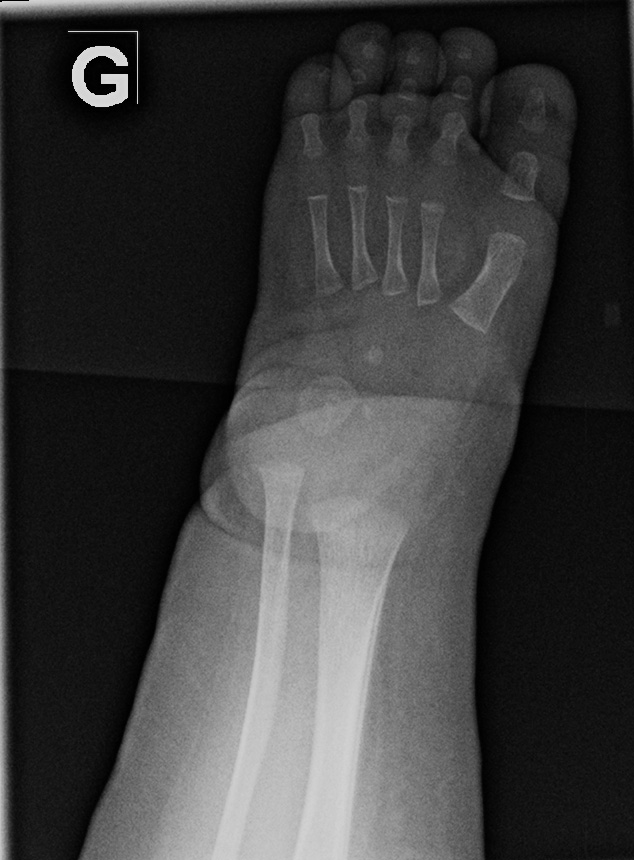
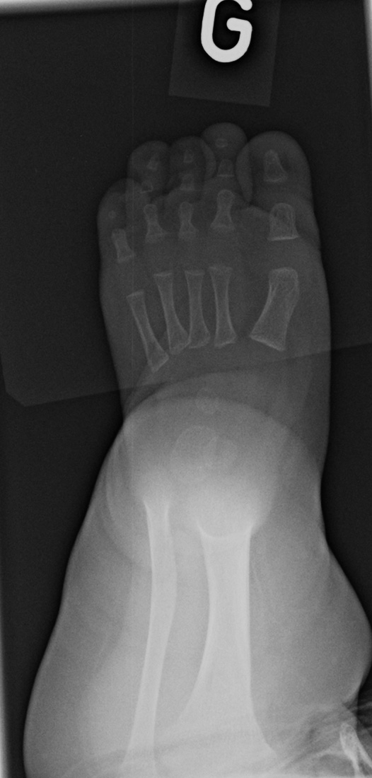
On the right side, the anteroposterior talo-calcaneal angle (Kite's angle) is decreased to 7° (normal between 20 and 40°). On the lateral view of Turco, the talo-calcaneal angle is 30° (normal over 35°). In short, on the anteroposterior view, the talus and calcaneus are more parallel than expected (normaly they are diverging).

Talus-1st metatarsal angle

Clubfoot

Bones misalignment

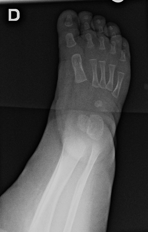
On the right anteroposterior view, the talus-1st metatarsal angle is measured at -7° (normal between 0 and 20°). The 1st metatarsal is medial to the talus because of the forefoot deviation in varus and adductus.

Talus

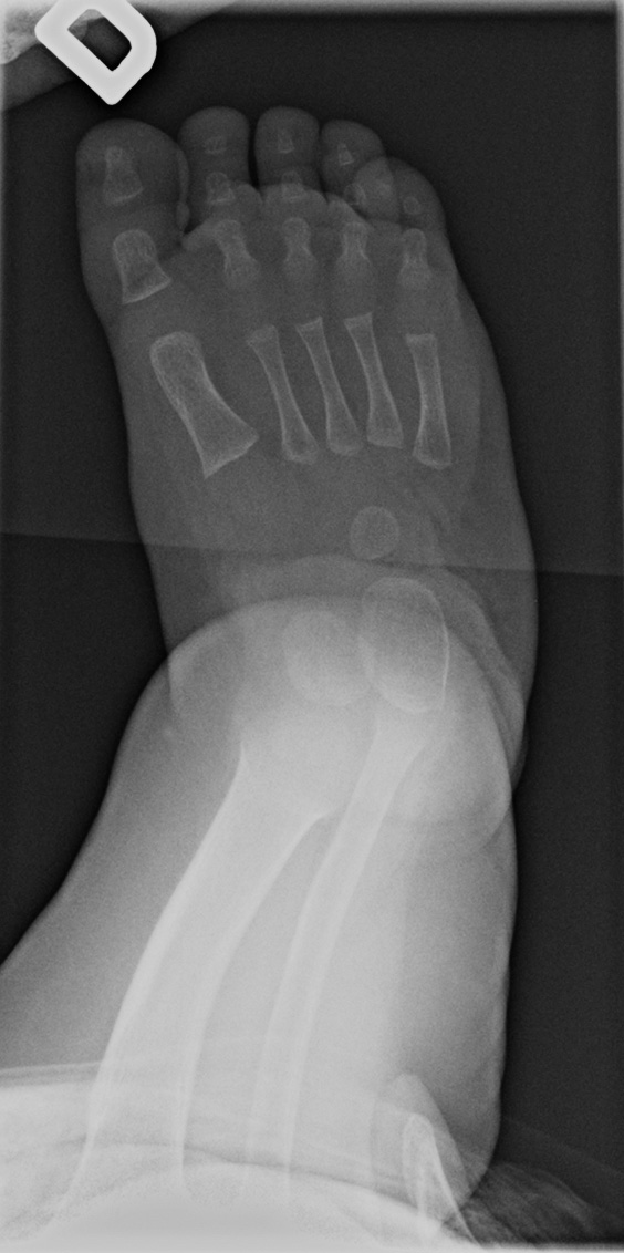
On the left side, the talus is not ossified enough to take measurements. Global alignment, however, suggests a left club foot of similar severity than the right.

Layout
Anteroposterior
  • Anteroposterior
  • Oblique
  • Turco
  • Anteroposterior
  • Oblique
  • Turco
Zoom:
-
test
+
Oblique
  • Anteroposterior
  • Oblique
  • Turco
  • Anteroposterior
  • Oblique
  • Turco
Zoom:
-
test
+
Turco
  • Anteroposterior
  • Oblique
  • Turco
  • Anteroposterior
  • Oblique
  • Turco
Zoom:
-
test
+
Anteroposterior
  • Anteroposterior
  • Oblique
  • Turco
  • Anteroposterior
  • Oblique
  • Turco
Zoom:
-
test
+
Oblique
  • Anteroposterior
  • Oblique
  • Turco
  • Anteroposterior
  • Oblique
  • Turco
Zoom:
-
test
+
Turco
  • Anteroposterior
  • Oblique
  • Turco
  • Anteroposterior
  • Oblique
  • Turco
Zoom:
-
test
+
.jpg
.png
216
6
3
../ortho/resources/studies/
../sandbox/