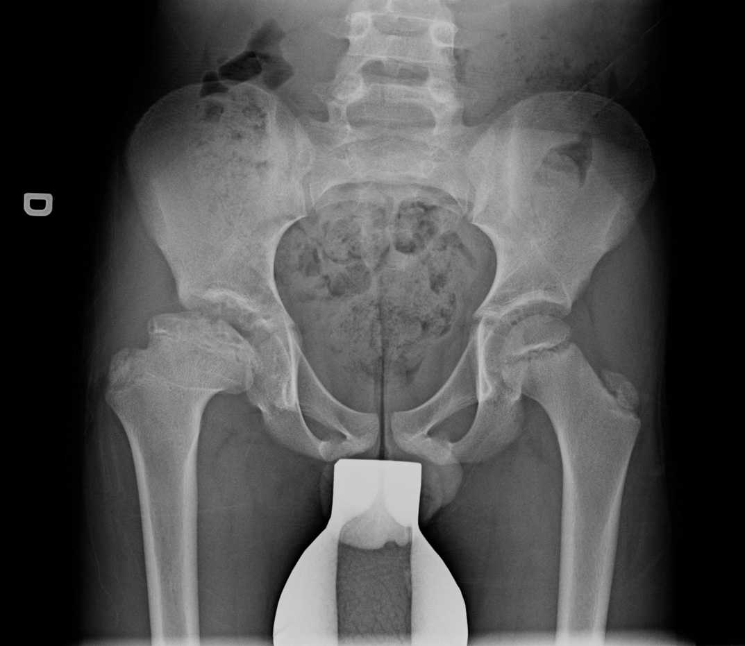
9-year-old male:
Follow-up of a Legg-Calvé-Perthes disease.

Legg-Calvé-Perthes disease

Bony irregularities

Slight progression of the femoral head ossification compared with the previous study.

Femoral head subluxation

We can see that the right femoral head is not fully covered by the acetabular rim on the right side as opposed to the left side.

Layout
Other patient studies
Anteroposterior
  • Anteroposterior
  • Frog-leg
Zoom:
-
test
+
Frog-leg
  • Anteroposterior
  • Frog-leg
Zoom:
-
test
+
.jpg
.png
211
2
2
../ortho/resources/studies/
../sandbox/