65-year-old female:
Left foot pain following a trip where the patient walked a lot.

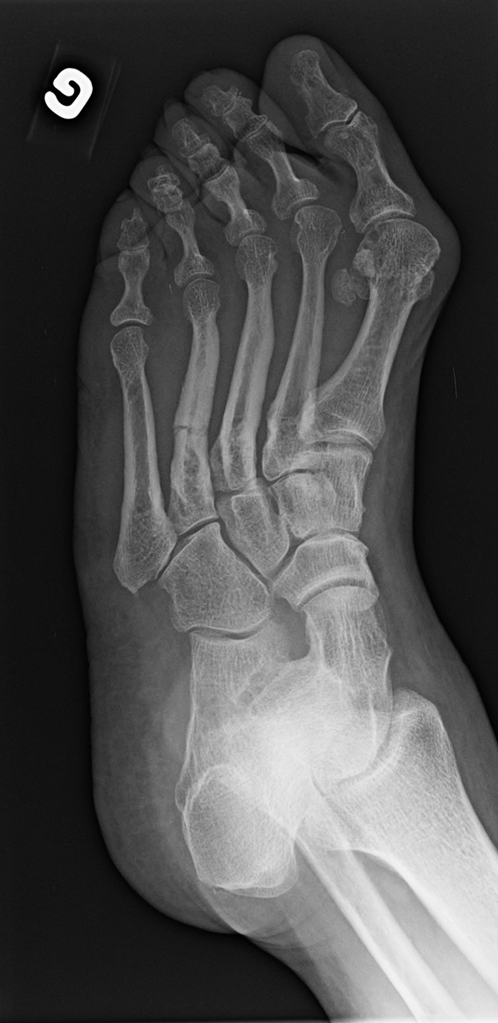
Metatarsal fracture (4th)

Linear hypodensity

4th metatarsal proximal third non-displaced fracture.

Callus

The fracture line is difficult to visualize and partially filled by a callus. This is a stress fracture of at least 10-14 days old.

Hallux valgus

Bone deformity

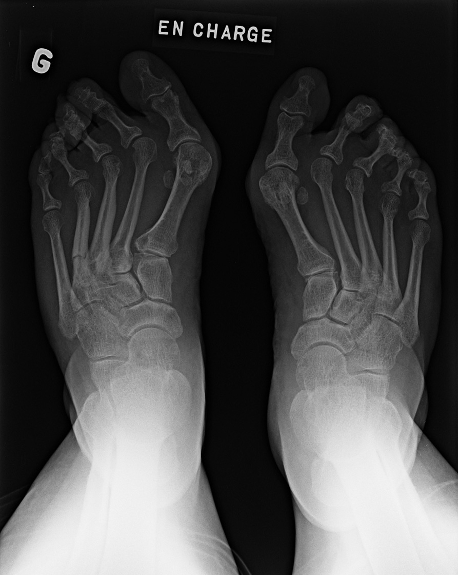
Important hallux valgus with a metatarsophanlangeal angle increased to 40° (normal at 15°).

Metatarsus varus

Bone deformity

The hallux valgus is associated to a metatarsus varus with an intermetatarsal angle increased to 15° (normal at 10°). This angle is underrated because of the abnormal forefoot structure (metatarsus adductus).

Interphalangeal angle

Normal interphalangeal angle of about 5° (this angle is considered normal if smaller than 8°).

Sesamoids

The sesamoids are displaced medially.

Layout
Anteroposterior
  • Anteroposterior
  • Lateral
  • Oblique
  • Standing view of the feet
Zoom:
-
test
+
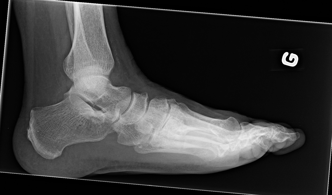
Lateral
  • Anteroposterior
  • Lateral
  • Oblique
  • Standing view of the feet
Zoom:
-
test
+
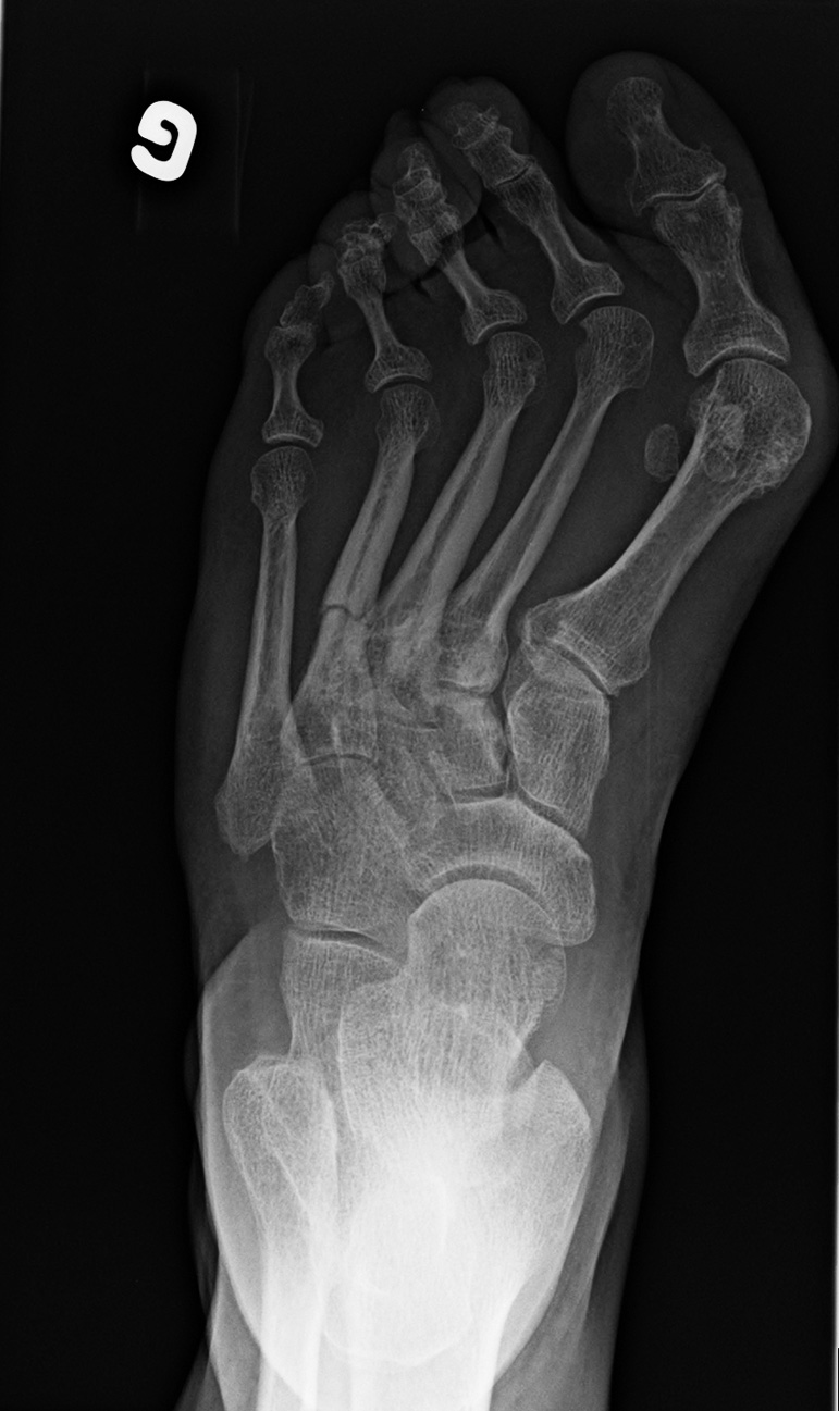
Oblique
  • Anteroposterior
  • Lateral
  • Oblique
  • Standing view of the feet
Zoom:
-
test
+
Standing view of the feet
  • Anteroposterior
  • Lateral
  • Oblique
  • Standing view of the feet
Zoom:
-
test
+
.jpg
.png
183
4
6
../ortho/resources/studies/
../sandbox/