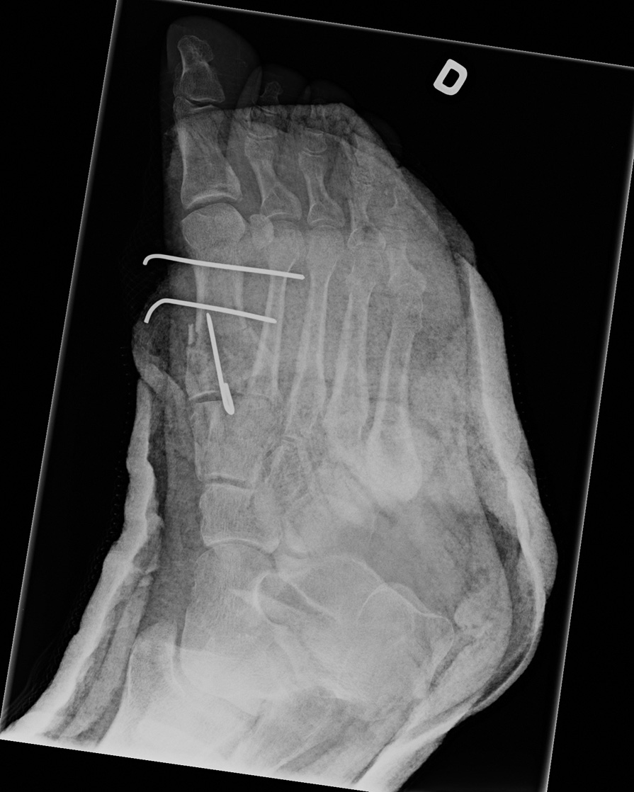
54-year-old male:
Postoperative control of a first metatarsal bone fracture.

Kirschner wires

Metatarsal fracture (1st)

Wires

Reduction the first metatarsal fracture and fixation of the distal fragment to the second metatarsal with two transverse Kirschner wires.

Proximal wire

Metatarsal fracture (1st)

Wires

A proximal wire was inserted longitudinaly to fix the base and distal fragments.

1st metatarsal alignment

Postoperative alignment is adequate.

Layout
Other patient studies
Anteroposterior
  • Anteroposterior
  • Lateral
Zoom:
-
test
+
Lateral
  • Anteroposterior
  • Lateral
Zoom:
-
test
+
.jpg
.png
182
2
3
../ortho/resources/studies/
../sandbox/