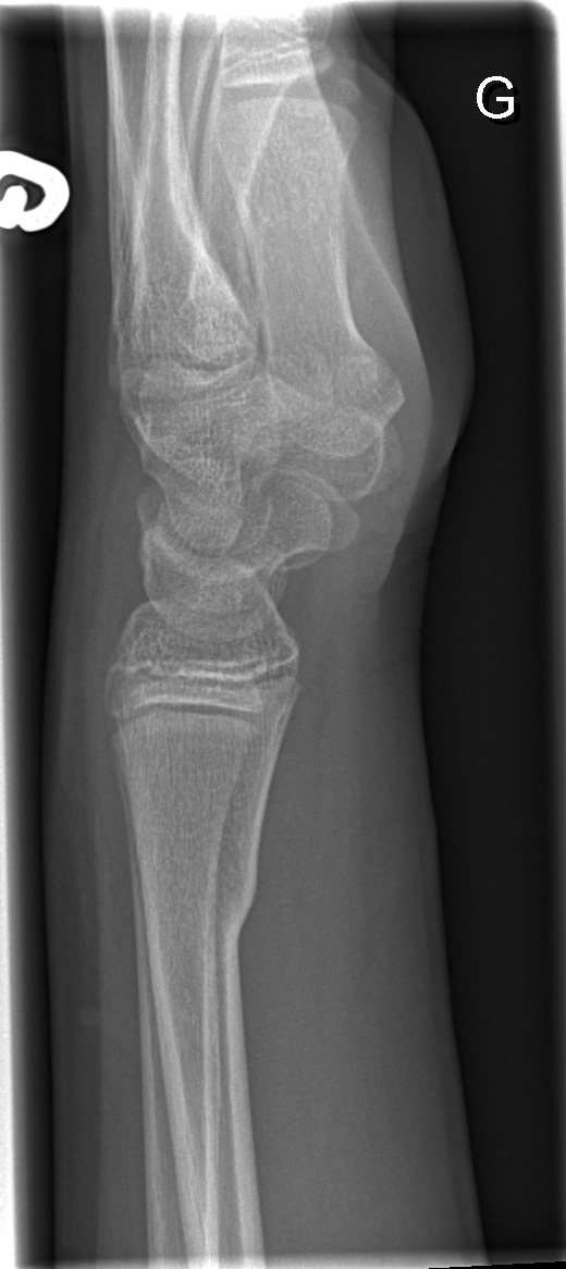
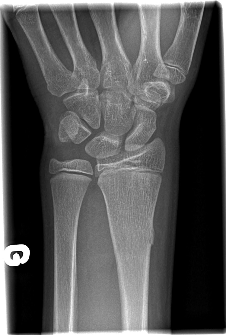
12-year-old male:
Left wrist pain after falling on a hyperextended arm and a flexed wrist.

Distal radius fracture

Bony irregularities

Metaphyso-diaphyseal transverse fracture of the distal radius involving mostly the volar cortex.

Broken dorsal cortex

This is not a torus fracture since the dorsal cortex is also broken. This is not a greenstick fracture either (a bending plastic deformity of one cortex and a tension fracture of the opposite one).

Layout
Anteroposterior
  • Anteroposterior
  • Lateral
Zoom:
-
test
+
Lateral
  • Anteroposterior
  • Lateral
Zoom:
-
test
+
.jpg
.png
151
2
2
../ortho/resources/studies/
../sandbox/