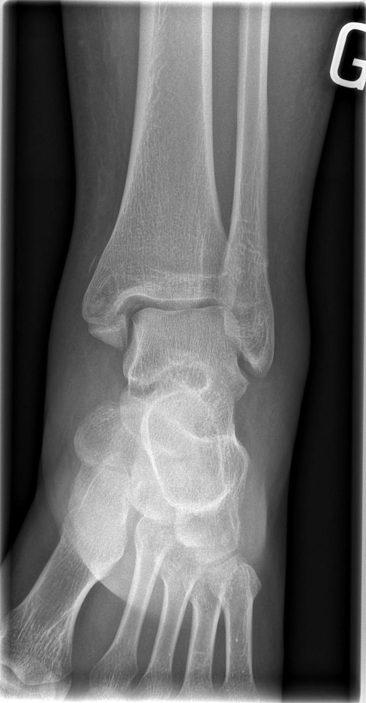
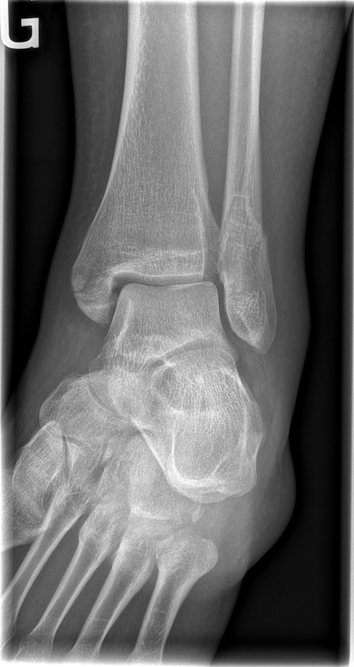
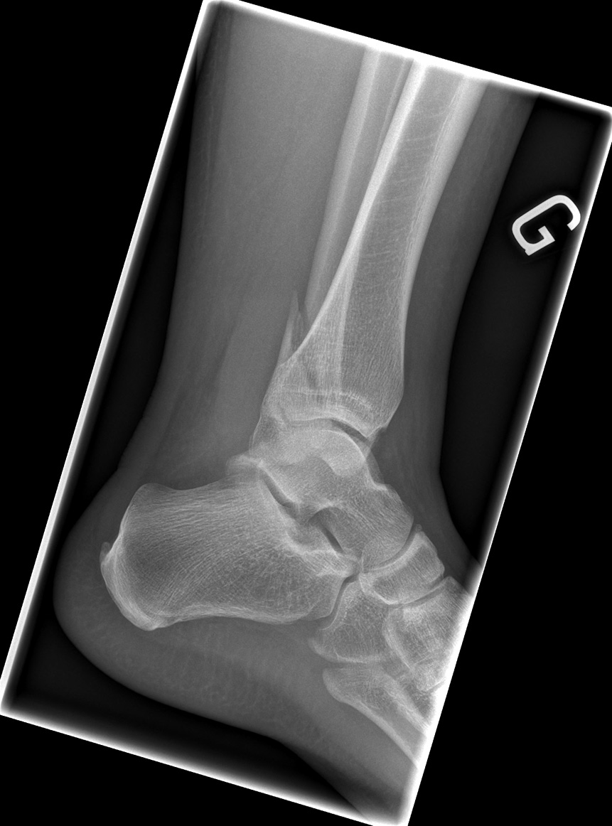
26-year-old male:
Ankle eversion trauma while playing soccer.

Bimalleolar fracture

Linear hypodensity

Lateral malleolus oblique fracture (Weber B) concomitant to a medial malleolus transverse fracture.

Intact posterior malleolus

The posterior malleolus appears intact.

Symmetrical mortise

The mortise appears symmetrical on the mortise view.

Layout
Other patient studies
Anteroposterior
  • Anteroposterior
  • Lateral
  • Mortise (15° internal rotation)
Zoom:
-
test
+
Lateral
  • Anteroposterior
  • Lateral
  • Mortise (15° internal rotation)
Zoom:
-
test
+
Mortise (15° internal rotation)
  • Anteroposterior
  • Lateral
  • Mortise (15° internal rotation)
Zoom:
-
test
+
.jpg
.png
146
3
3
../ortho/resources/studies/
../sandbox/