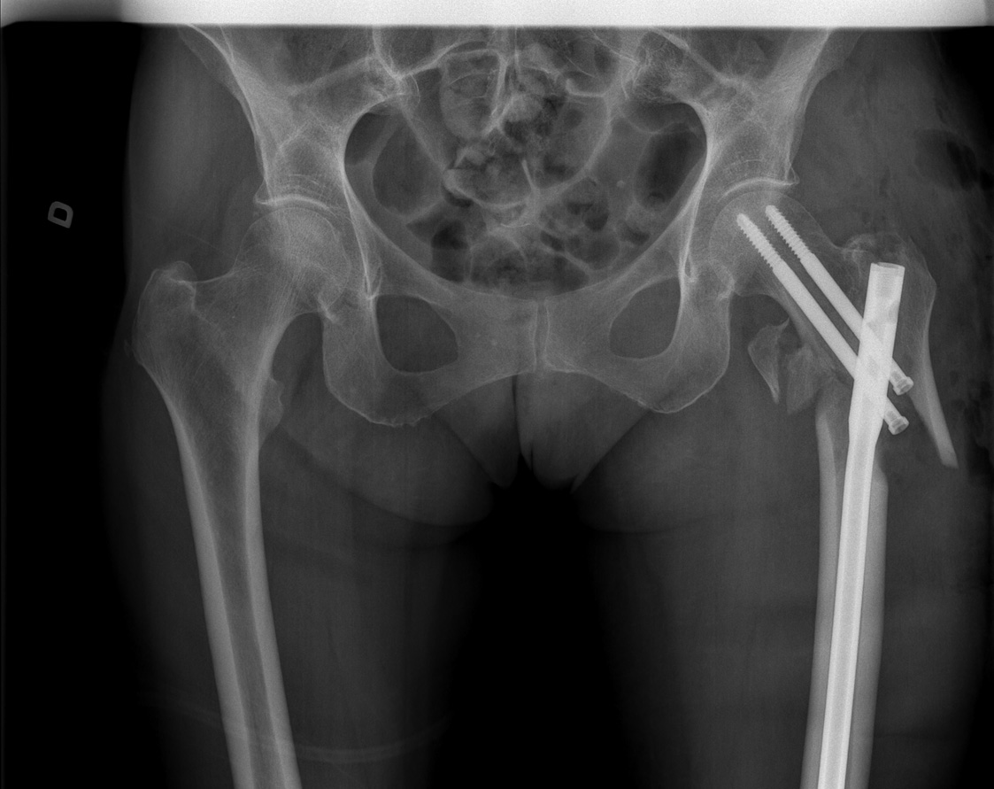
81-year-old female:
Postoperative control of an intertrochanteric fracture.

Intramedullary nail

Intertrochanteric fracture

Wires

Open reduction of an intertrochanteric fracture of the reverse obliquity type and internal fixation with a reconstruction intramedullary nail and two transcervical proximal locking screws.

Free lesser trochanter

Comminution of the lesser trochanter was not addressed by surgery and is still visible postoperatively.

Diastasis

An angulation and a 26 mm diastasis remain visible at the proximal diaphysis because of the comminution. Alignment of the femoral neck is however adequate.

Layout
Other patient studies
Anteroposterior
  • Anteroposterior
Zoom:
-
test
+
.jpg
.png
145
1
3
../ortho/resources/studies/
../sandbox/