54-year-old male:
High velocity car crash.

Lisfranc fracture

Linear hypodensity

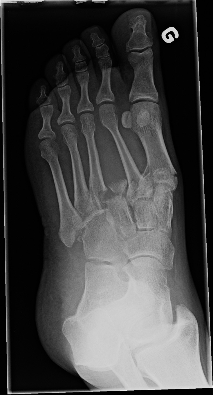
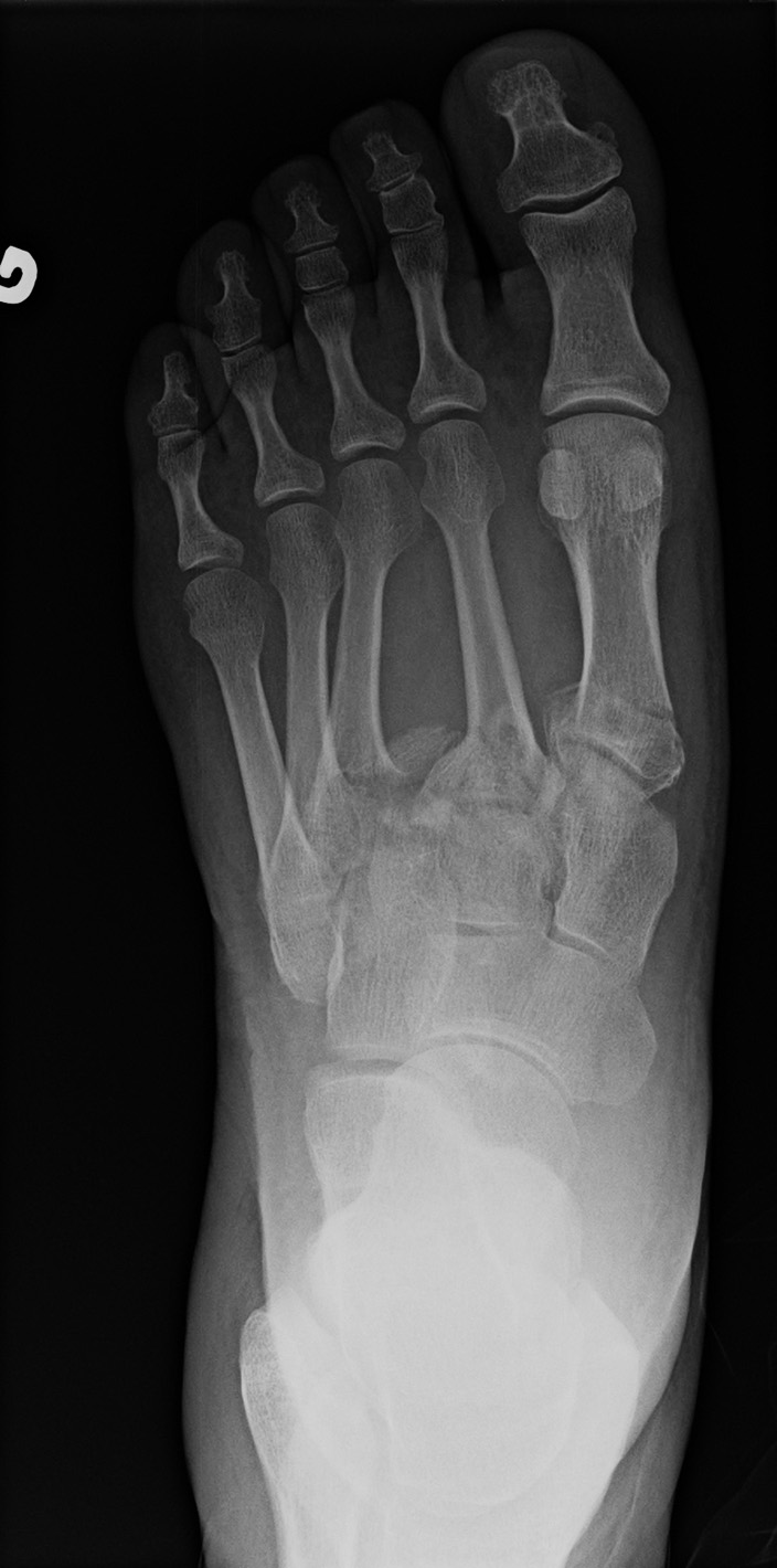
First, note the base fractures of the 1st and 2nd metatarsal bones, minimally displaced, yet angulated in valgus. Second, note the three lateral metatarsal bones laterally displaced and with a varus angulation; the 3rd one is fractured and the 4th and 5th ones are dislocated. Thus, this is a Lisfranc fracture-dislocation of the divergent type. However, this is actually an atypical Lisfranc injury, for the 1st and 2nd metatarsals are both displaced medially and the 3rd, 4th and 5th are displaced laterally. In a classic Lisfranc injury, only the 1st metatarsal deviates medially, while the 2nd, 3rd, 4th and 5th are all displaced laterally.

2nd metatarsal alignment

On the anteroposterior view, the intermediate cuneiform's medial border is partially aligned with the second metatarsal bone's medial border.

4th metatarsal alignment

On the oblique view, the cuboid's medial body is no longer aligned with the 4th metatarsal's medial border. The 3rd metatarsal can now be seen in its stead.

Bony fragment

Multiple bony fragments of the 3rd metatarsal base can be seen between the 2nd and 3rd metatarsal bones.

Layout
Other patient studies
Anteroposterior
  • Anteroposterior
  • Lateral
  • Oblique
Zoom:
-
test
+
Lateral
  • Anteroposterior
  • Lateral
  • Oblique
Zoom:
-
test
+
Oblique
  • Anteroposterior
  • Lateral
  • Oblique
Zoom:
-
test
+
.jpg
.png
116
3
4
../ortho/resources/studies/
../sandbox/