62-year-old female:
Shoulder pain following a fall from standing height on a hyperextended arm.

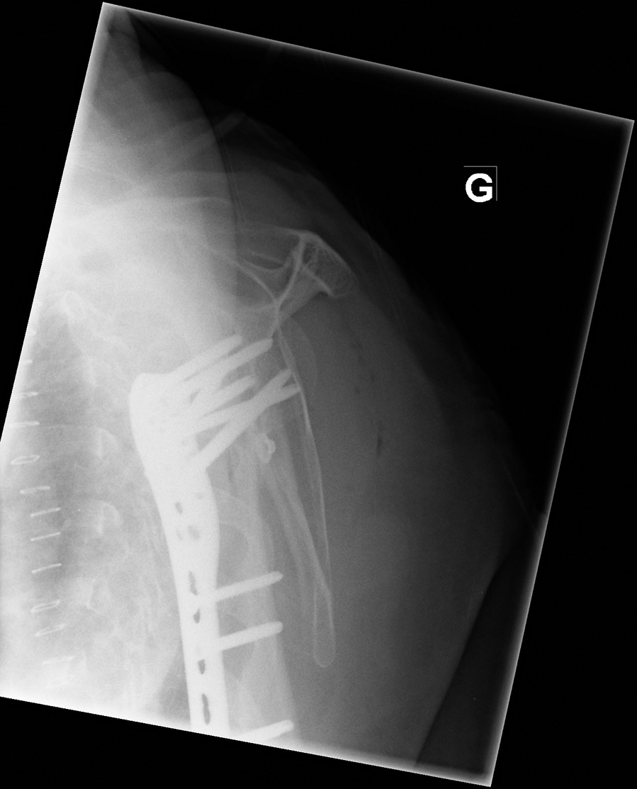
Philos plate

Proximal humerus fracture

Plate and screws

Open reduction of a proximal humerus fracture and internal fixation with a Philos plate. Multiple screws provide enhanced stability.

Metallic staples

Metallic staples for skin closure.

Layout
Other patient studies
Anteroposterior (internal rotation)
  • Anteroposterior (internal rotation)
  • Transscapular view (Neer, "Y" or lateral view of the shoulder)
Zoom:
-
test
+
Transscapular view (Neer, "Y" or lateral view of the shoulder)
  • Anteroposterior (internal rotation)
  • Transscapular view (Neer, "Y" or lateral view of the shoulder)
Zoom:
-
test
+
.jpg
.png
115
2
2
../ortho/resources/studies/
../sandbox/